Clinique vétérinaire de Cronenbourg

Examen tomodensitométrique !

Depuis janvier 2026, les examens tomodensitométriques
peuvent être réalisés directement à la Clinique
Vétérinaire de Cronenbourg !

Examen tomodensitométrique !

Depuis janvier 2026, les examens tomodensitométriques
peuvent être réalisés directement à la Clinique
Vétérinaire de Cronenbourg !

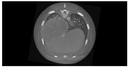
L'examen tomodensitométrique 100 % de mesure et une grande précision !

Les scanners classiques fonctionnent avec un mouvement hélicoïdal en mesurant usuellement 1 mm et en extrapolant 1 mm informatiquement. Ce tomodensitomètre atteint le plus haut niveau d’évolution de la technologie CT à écran plat, offrant une imagerie diagnostique de qualité pour les tissus durs et mous. Grâce à sa technologie HDVI, cet appareil d’examen tomodensitométrique exclut l’interpolation en réalisant 100 % de mesure pour créer une reconstruction en 3 dimensions (3D) complète

Il est particulièrement adapté aux Nouveaux Animaux de Compagnie (NAC) en raison de sa rapidité de mesure (une mesure en 22 secondes) et de sa précision au dixième de millimètre près. Un technologie de faisceaux coniques (Cone Beam Technology) permet de réduire l’exposition de l’animal.

Comment cela fonctionne ?

L’examen tomodensitométrique est réalisé : 

– sur rendez-vous en consultation avec un vétérinaire
(prise de rendez-vous par téléphone 03.88.28.10.00)
ou en dépôt (prise de rendez-vous sur PILEPOIL (https://www.pilepoils.vet/) ou par téléphone 03.88.28.10.00 ).
sous Anesthésie Générale adaptée à l’espèce et à l’animal réalisé par des vétérinaires formées aux Nouveaux Animaux de Compagnie (NAC) et à leur Anesthésie. Un examen clinique est systématiquement réalisé même en dépôt. 

– Le jour du dépôt, il faudra lire et remplir le consentement éclairé
et le Questionnaire médical examen tomodensitométrique NACACRO que vous pouvez télécharger ci-dessous : 
– Version WORD ou ODT  : Questionnaire medical examen tomodensitometrique NACACRO.docx
– Version PDF : Questionnaire medical examen tomodensitometrique NACACRO.pdf

Sur Rendez-vous même en dépôt

Sous anesthésie générale adaptée à l'espèce et à l'animal

Icone d'un hamster bleu

Consentement éclairé et questionnaire médical sont à compléter

Quelles sont les possibilités ?

Vous devrez choisir :
– si vous faites votre scanner en dépôt ou avec une consultation. Dans tous les cas votre animal aura un examen clinique avec un vétérinaire. 
– si vous faire une région (tête, thorax, abdomen) ou le corps en entier
– si vous souhaitez ou non avoir une interprétation de l’examen par des vétérinaires spécialisés en imagerie avec un compte-rendu écrit
– et l’heure de sortie. L’examen est en ambulatoire sur la journée.
Les examens en dépôt sont à déposer entre 8h30 et 9h
et il faudra choisir un créneau de sortie usuellement entre 16h et 18h.

Icone d'un chat orange

Choisir dépôt ou consultation et Choisir la ou les zones scannées

Icone d'un lapin bleu

Choisir l'interprétation des images par un spécialiste ou non.

Icone d'un oiseau orange

Dépôt entre 8h30-9h Choisir une heure de sortie
Entre 16h et 18h usuellement

Utilisation alternative :
diagnostic post-mortem

N'hésitez pas à poser vos questions à notre équipe !

Photo d'un chat roux devant un fond orange

Prendre rendez-vous

Une équipe à votre écoute qui a à cœur de répondre au mieux aux évolutions scientifiques pour assurer le bien-être de vos compagnons. Afin que tous les animaux qui font partie de notre famille reçoivent les soins qu’ils méritent, nous sommes engagés depuis de nombreuses années dans les soins des Nouveaux Animaux de Compagnie et diplômés en NAC.
Notre équipe est au service du bien-être de votre animal : pour parvenir à bien le soigner, un cadre de respect mutuel est indispensable.

Les consultations (même en urgence) se font uniquement sur rendez-vous par téléphone au 03.88.28.10.00.

Pour les questions non urgentes vous pouvez envoyer un mail à clinique.veto.cronenbourg@gmail.com.
Aucune urgence ne sera traitée par mail. 
Aucun diagnostic ou prescription de produit sur ordonnance ne pourra être réalisé sans une consultation préalable.